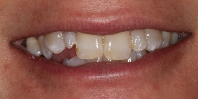
Kelly came to our Moore County cosmetic dental practice unhappy with her smile and concerned about her bite. Beyond cosmetic concerns, she was dealing with frequent migraines and poor sleep—issues that were affecting her daily life. She wanted more than just a new look—she wanted lasting relief and renewed confidence.
A Comprehensive, Health-Focused Approach
Dr. Mandy Grimshaw led Kelly’s transformation with a carefully sequenced, full-mouth rehabilitation plan. Her treatment began with bite alignment correction using an orthotic appliance, followed by a full-mouth reconstruction to restore function and aesthetics.
To protect her new crowns and support overall wellness, Kelly also wore a custom sleep appliance, which not only helped preserve her dental work but also significantly improved her quality of sleep.
Personalized Care. Lasting Results.
From the first consultation, our team focused on long-term results that would enhance Kelly’s appearance and health. The outcomes were dramatic—not just in her smile but also in her overall well-being.
Technology and Treatment Highlights
This case combined aesthetic precision with functional care to deliver transformative results for Kelly.
Full-mouth reconstruction for complete aesthetic and functional restoration
- Orthotic appliance therapy to correct bite alignment
- Custom sleep appliance to protect restorations and improve sleep
A Smile That Sparkles—and a Life Without Migraines
Since completing treatment, Kelly has not experienced a single migraine—something she had battled for years. She also reports sleeping better and feeling more energetic. On top of that, she now receives frequent compliments on her smile—something she rarely heard before.
Results
Kelly’s experience is a powerful reminder that dental treatment can be life-changing—both inside and out.
- No more migraines since completing treatment
- Significantly improved sleep and overall wellness
- Boosted self-confidence with a beautiful, natural-looking smile
- Restored bite and long-term protection for new crowns
“The best investment that I have made for myself.” – Kelly
Contact Us Today
Kelly’s story is just one of the many of patients who have come to Kuhn Dental Associates dissatisfied with the state of their smile and left with transformative results.
If you’re unhappy with your smile and would like to discuss possible treatment options, call our office today at (910) 692-4450 to schedule your appointment.



