Skip to content
Home
About
Meet Dr. Ritt Kuhn
Meet Dr. Mandy Grimshaw
Meet The Team
Patient Resources
Special Offers
Patient Education
Patient Profiles
Smile Gallery
Testimonials
Services
TMJ Treatment
Sleep Apnea Treatment
Cosmetic Dentistry
Invisalign
Dental Implants
Preventative Dentistry
Sedation Dentistry
View All Services
Contact
Request Appointment
(910) 692-4450
Call Today!
(910) 692-4450
(910) 692-4450
Call Today!
(910) 692-4450
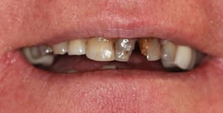
Upper and Lower All-On-4
Upper and Lower All-On-4
All-On-4
Implants
Before
After
Previous
Next
Page load link
Go to Top