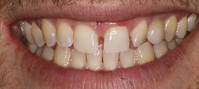
Same-Day Dental CrownDental CrownsProcedures/treatments: Same-day dental crownBeforeAfterPreviousNext