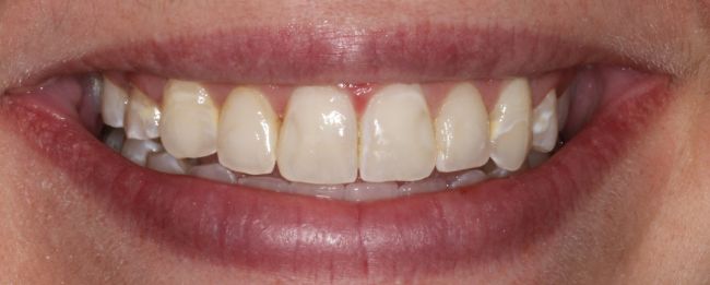
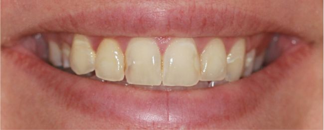
Orthodontics

Treatments/Procedures: Orthodontics (traditional braces)

Before

After