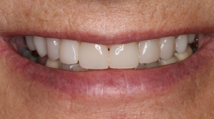
Crowns

Procedure performed: Crowns

Before

A close-up of a smile with discolored, uneven teeth, including visible dental wear and gaps

After

A close-up of a smile showing straightened, whitened teeth with improved alignment.