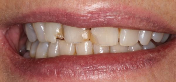
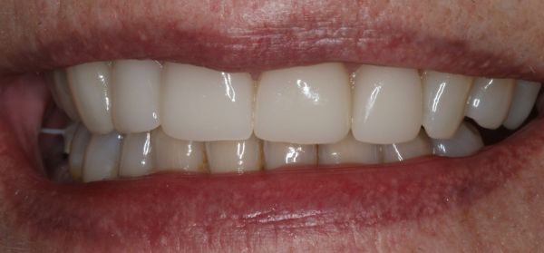
Bridge & Anterior CrownsDental CrownsRestorative DentistryTreatments/procedures: Upper right bridge (4-6) anterior crowns (7-10)BeforeAfterPreviousNext