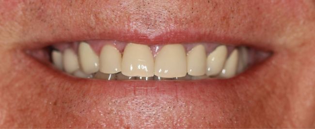
All-on-4 Implants & VeneersAll-On-4VeneersProcedures/Treatments: Upper All-on-4 dental implants and lower veneersBeforeAfterPreviousNext