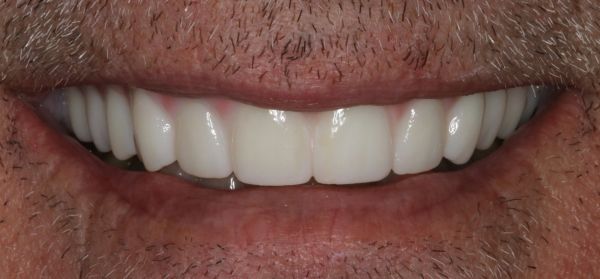
All-on-4 & Crowns

Procedures/treatments: Upper All-on-4, lower crowns

Before

After